VIRTUAL CONSULTATION
FOR NEW PATIENTS
We are pleased to offer virtual consultations to our patients. Take a series of 5 photographs using the guidelines below, and submit them to our office using the form on this page 48 hrs before your scheduled consultation. This will allow Dr. Toothman or Dr. Powers time to review your photos prior to your scheduled virtual consultation.
How it Works
1. Ask someone to help you replicate the photos below using a digital camera or smartphone.
2. Submit all 5 of your photos using the form below and tell us about any concerns you have.
3. Dr. Toothman or Dr. Powers will review your photos with you during your virtual appointment.
How to Photograph Your Smile
Photos should be taken in a seated position, in a room with good lighting. For best results, have someone else take the photos, as they can be difficult to take on your own.
Please contact our office if you have any questions about this form.
Show Us Your Smile
See our photo instructions below for reference.
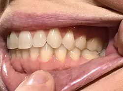
Photo 1: Right Bite
Bite down on your regular bite with back teeth touching. Pull back your right cheek as far as you can. Snap picture looking directly at the right side of your mouth.

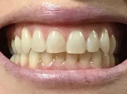
Photo 2: Center Smile
Bite down on your regular bite with back teeth touching and show us your biggest smile ever, showing as much of your teeth as possible. Snap picture looking straight at your smile.
Photo 3: Left Bite
Bite down on your regular bite with back teeth touching. Pull back your left cheek as far as you can. Snap picture looking directly at the left side of your mouth.

Photo 4: Upper Arch
Tilt your head back and take a photo. Try to get your full arch. Face a window for the best lighting or use a flashlight to brighten the palate.

Please refer to our disclaimer before making a virtual consultation submission.
Virtual Consultation Form
DISCLAIMER
The following disclaimer outlines the terms and conditions governing the use of the virtual orthodontic consultation service provided by Toothman Orthodontics. By using this service, you agree to adhere to these terms. If you do not agree with these terms, please refrain from using the virtual consultation service.
Non-Emergency Use: This virtual consultation service is intended for non-emergency purposes only. If you are experiencing a dental emergency or require urgent medical attention, please contact your local emergency services or a qualified healthcare professional immediately.
Evaluation Purposes: The information and materials submitted by you through the virtual consultation service are solely for the purpose of orthodontic evaluation and general guidance. They do not replace the necessity of an in-person orthodontic visit or examination.
Privacy: We highly value your privacy. The information you provide, including your name, email address, phone number, and any photographs of your teeth, will be used solely for the purpose of evaluating your orthodontic needs and providing consultation. We do not share this information with any third parties without your explicit consent.
Service Intent: The virtual consultation service is offered as a convenience to assist you in optimizing your orthodontic treatment experience. It is not intended to replace the comprehensive care provided during regular in-person visits.
In-Person Appointments: It is important to note that even if you receive a virtual consultation, certain aspects of your orthodontic treatment will necessitate in-person appointments. These appointments are crucial for accurate diagnosis, treatment planning, and adjustments.
Communication: Upon submission, your virtual consultation request will be sent to Toothman Orthodontics via email. While we take measures to secure our communication channels, please be aware that email communication may not be entirely secure. Do not include sensitive or personal health information in your submissions.
Data Charges: Please be aware that any data charges incurred during the use of the virtual consultation service are your responsibility. Toothman Orthodontics is not liable for any costs associated with data usage.
By using the virtual consultation service provided by Toothman Orthodontics, you acknowledge and agree to the terms outlined in this disclaimer. This disclaimer may be subject to change without prior notice, and it is your responsibility to review and understand its content before using the service.
If you have any questions or concerns regarding this disclaimer or the virtual consultation service, please contact Toothman Orthodontics for clarification.

